免疫组化染色

特异性强且应用广泛的蛋白表达检测方法


免疫组化染色(Immunohistochemistry,简称IHC):是一种基于抗原-抗体特异性结合原理的组织染色技术,广泛应用于病理学诊断和科研中。通过标记抗体并与组织切片中的特定抗原结合,免疫组化能够准确地检测组织中某种蛋白的表达和分布,为病理学家提供重要的分子水平信息。

...
● 原理

免疫组化染色主要依赖抗体与目标抗原之间的特异性识别,结合显色系统在光镜下实现定位观察。基本原理如下:

  • 抗原-抗体结合:

    • IHC染色利用特异性抗体识别并结合组织切片中的靶标抗原(通常是蛋白质),抗体可以是单克隆抗体或多克隆抗体。

  • 信号放大与显色:

    • 为实现可视化,抗体常与酶(如辣根过氧化物酶 HRP 或碱性磷酸酶 AP)或荧光分子标记。

    • 当抗体结合目标抗原后,通过底物反应产生可见信号(如棕色、红色沉淀或荧光),从而在显微镜下显示抗原的分布位置。

  • 常见染色系统:

    • HRP/DAB 系统:抗体与 HRP 酶偶联后,在 DAB 底物作用下生成棕褐色沉淀。

    • AP/红色染料系统:适合与 HRP 联合进行多重染色。

    • 荧光 IHC:使用荧光标记抗体,实现多重标记和共定位分析。

通过这些步骤,免疫组化染色能够精确显示目标蛋白的表达位置和强度,是组织病理分析中不可或缺的重要技术。

产品目标手风琴

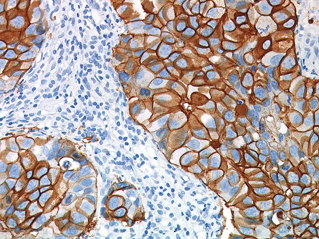
免疫组化染色后的组织切片根据所检测蛋白的表达情况呈现特异性染色信号,结果解读包括染色强度、分布范围及定位:

  • 阳性表达:抗原表达部位出现棕色、红色或荧光信号,颜色强度反映表达量。
  • 阴性表达:无特异性染色,或仅有背景色,提示该蛋白在此组织或细胞中不表达或低表达。
  • 表达定位:不同蛋白可能定位于细胞膜、胞浆或细胞核,有助于确定其功能与状态。
  • 异常表达:某些蛋白在肿瘤组织中出现过表达、异位表达或表达丢失,具有重要的病理诊断意义。

免疫组化染色在临床病理学和基础科研中具有广泛的应用价值,主要体现在以下方面:

  • 肿瘤诊断与分型:IHC是恶性肿瘤诊断的重要手段之一,可用于确定肿瘤来源(如上皮源、神经源、间叶源等),区分良恶性,明确组织类型(如腺癌、鳞癌、淋巴瘤等)。
  • 分子分型与靶向治疗指导:通过检测如HER2、ER、PR、PD-L1等特定靶标蛋白的表达情况,IHC为乳腺癌、肺癌、胃癌等的分子分型及靶向治疗方案提供依据。
  • 预后评估与疾病监测:某些蛋白的表达强度与肿瘤侵袭性、预后相关,如Ki-67用于评估细胞增殖活性,p53突变提示肿瘤进展风险等。
  • 感染与免疫相关疾病检测:通过IHC可检测病毒、细菌抗原(如EBV、HPV、结核杆菌抗原)或自身抗原的异常表达,辅助诊断相关疾病。
  • 科研应用:IHC是组织蛋白定位研究的常用手段,在探究信号通路、基因调控、疾病机制等方面具有重要作用。