PAS染色

识别多糖类物质的经典染色方法


PAS染色(Periodic Acid-Schiff Staining):是一种常用于病理学和组织学的染色技术,能够特异性地识别组织中的多糖类物质(如糖原、黏多糖、糖蛋白、基底膜等)。它在诊断多种代谢性、肿瘤性和感染性疾病中具有重要价值。

PAS染色通过周期酸(Periodic Acid)氧化产生醛基,再与希夫试剂(Schiff reagent)发生反应生成紫红色沉淀,使得富含多糖的结构在显微镜下清晰可见。

...
● 原理

PAS染色利用化学氧化和显色反应原理,主要包括以下步骤:

  • 周期酸氧化(Periodic Acid):

    • 周期酸可氧化组织切片中糖类分子的1,2-醇基团,使其转变为醛基。

  • 希夫试剂(Schiff Reagent)反应:

    • 这些生成的醛基与希夫试剂发生反应,形成稳定的紫红色复合物,从而使含有多糖结构的组织部位被显色。

  • 选择性显色:

    • 只有含有特定糖结构(如糖原、黏多糖、糖蛋白)的区域才被氧化并染色,因此PAS染色具有高度特异性。

  • 糖原特异性验证:

    • 如在染色前加入二端羟基酶(Diastase)进行预处理,可去除组织中的糖原,用以区分PAS阳性物质是否来源于糖原。

该方法可显著增强组织中多糖结构(如基底膜、黏液、糖原等)的可视化效果,是糖类结构定位和病理分析的重要手段。

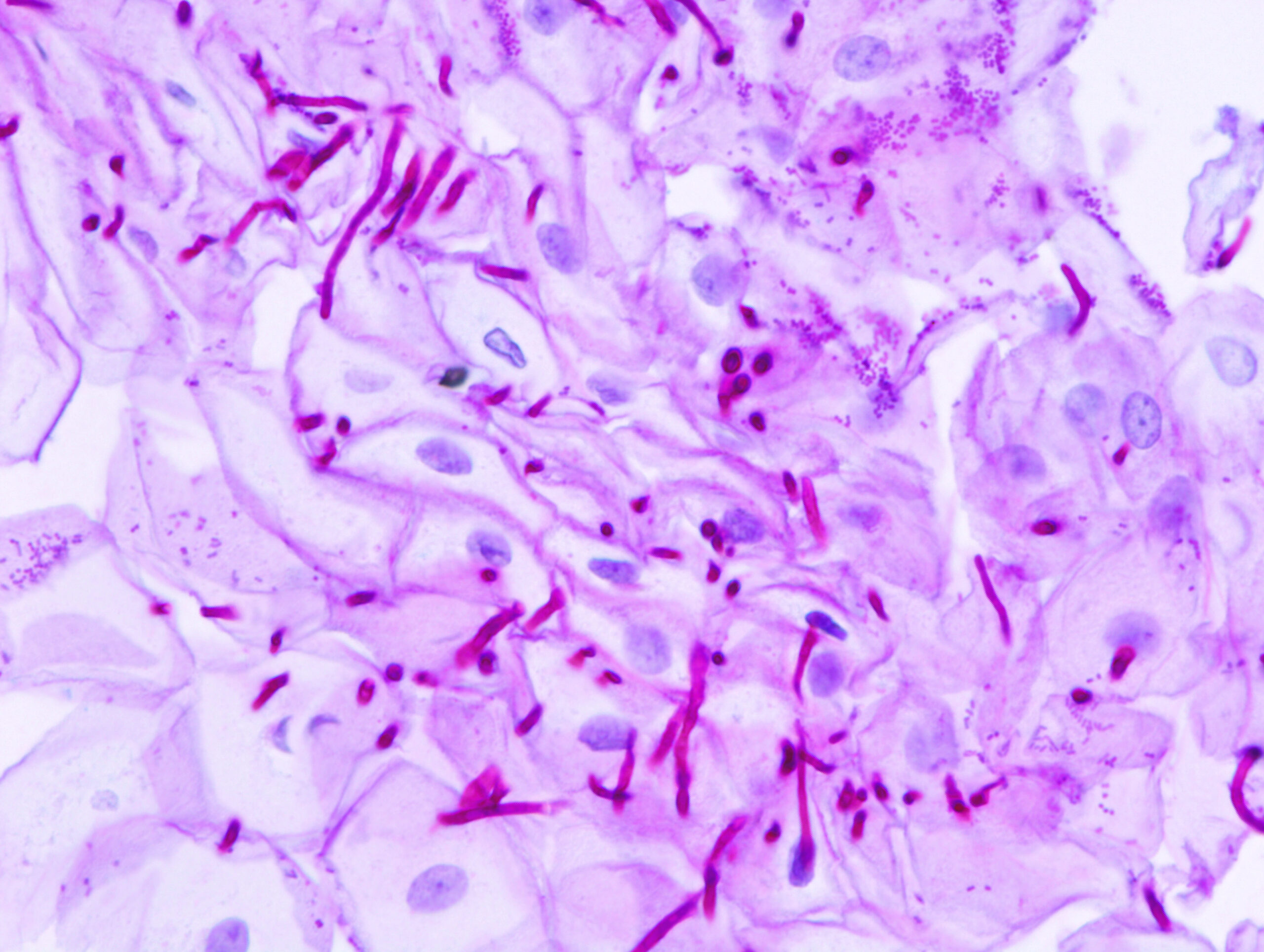
PAS染色信息展示

PAS染色后的组织切片中,多糖类结构显示为明显的紫红色或洋红色,具有高度对比度:

  • 基底膜:呈现鲜明紫红色,常用于观察肾小球、腺体等部位的结构完整性。
  • 糖原颗粒:在肝细胞、肌细胞或某些肿瘤中显示为团块状紫红沉积,若经淀粉酶消化可被去除。
  • 上皮细胞刷状缘:如肾小管或肠道上皮等处的刷状缘,因含糖蛋白较多,呈PAS阳性。
  • 真菌细胞壁:部分真菌(如白色念珠菌)的细胞壁含多糖物质,可被PAS染成红紫色,具有诊断意义。
  • 黏液分泌物:黏液腺分泌的酸性或中性黏液常呈紫红色团块状沉积。

PAS染色因其对糖类结构的特异性识别,广泛应用于病理学、内分泌学、肾脏病理等领域:

  • 肾脏病变诊断:用于观察肾小球基底膜增厚、糖尿病肾病、膜性肾病等结构变化。
  • 肿瘤分类与鉴别:鉴别富含糖原的肿瘤(如透明细胞癌、脂肪肉瘤等),或辅助判断腺体来源。
  • 真菌感染检测:可用于显示含多糖细胞壁的真菌结构,在肺炎、皮肤病变等中有重要价值。
  • 糖原代谢疾病研究:如糖原累积病,可通过PAS染色检测组织中的糖原沉积分布。
  • 上皮细胞结构分析:在消化道或泌尿道上皮组织研究中,显示其刷状缘、黏液含量和分泌特征。