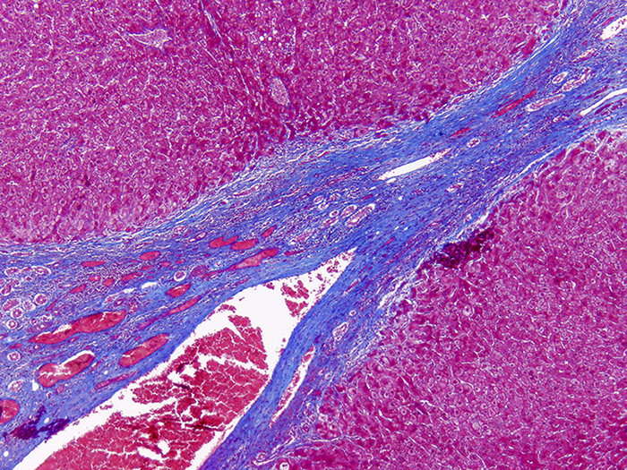
经典的结缔组织与胶原纤维染色技术
Masson三色染色(Masson’s Trichrome Staining) :是组织病理学中常用的一种多色染色技术,主要用于区分胶原纤维、肌肉、细胞核等结构。它能有效区分组织中的结缔组织与非结缔组织成分,常用于纤维化、肿瘤浸润、肌组织变性等病理状态的观察和评估。
Masson染色主要使用三种染料:苏木素(Hematoxylin)、酸性品红(Acid Fuchsin)或庚旦胺红(Ponceau),以及亮绿(Light Green)或甲苯胺蓝(Aniline Blue),通过各自选择性地染色不同组织结构,展现多层次组织特征。
